症例紹介 CASE
一般的なスケーリング(スケーリング、歯科プロービング、レントゲン検査、ポリッシング)
4歳 トイプードル(女の子)
通常の健康診断で一緒に歯科検診を実施した際に、軽~中程度の歯石の沈着と歯肉炎を起こしていたため、麻酔歯科処置でのスケーリング処置を実施しました。
1.右側外観です。
2.左側外観です。
3.まず、スケーリングをして口の中をきれいにしてから
4.プロービング検査で歯周ポケットの深さを測定して
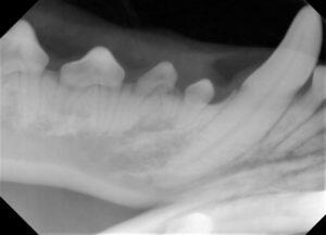
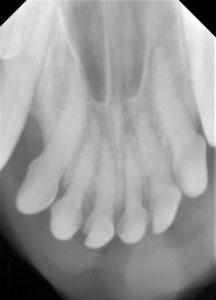
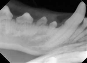
5.歯科レントゲンで歯と骨の状態を確認して
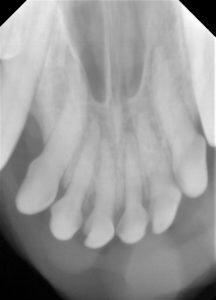
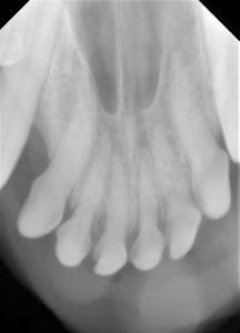
6.すべてのレントゲンを撮ってから、治療計画を立て
7.ポリッシングを行い、治療終了です。
8.治療後の右側外観です。
9.治療後の左側外観です。
歯肉炎や軽度歯周炎であれば、特別な歯周外科治療でなく、一般的なスケーリング処置で状態の改善が認められます。
術後ご自宅での口腔内ケアを指導させていただいて、定期的な歯科検診で良い状態を維持します。








