症例紹介 CASE
重度歯周病(全顎抜歯)
8歳 トイプードル(女の子)
「口臭がよりひどくなってきた」という主訴で来院されました。
今まで他院では「腎臓などに問題がある」という事で手術を控えていましたが、術前検査で全身状態を確認し、麻酔に注意しながら手術は可能と判断し、歯科処置を実施しました。
1.右側外観です。所々すでに歯がありません。
2.左側外観です。上顎犬歯の歯肉がかなり後退しています。
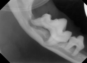
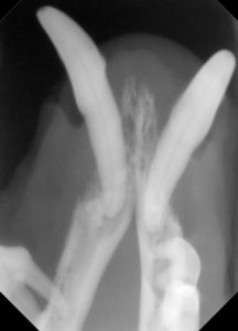
3.レントゲンでは、顎の骨が歯周病により骨折しやすい状態が確認されます。
4.下顎の顎先の骨も薄い状態です。
5.下顎の骨が溶けて、骨折しやすくなっています。
6.歯周病のため右側上顎の歯を全て抜歯し、
7.右側下顎の歯も骨折に注意して抜歯し、
8.左側上顎の歯も全て抜歯し、
9.左側下顎も全て抜歯しました。
顎先が細くやせた状態になっています。
このように歯周病が進行すると、歯だけの問題でなく顎の骨が溶けてしまうため、顔の骨の骨折リスクが高くなり、治療にも慎重な歯科処置が必要になります。
歯を全て抜歯すると「食事が食べられなくなるのでは?」と思われますが、わんちゃんは人間のように咀嚼する動物ではないため、採食による影響はあまり認められません。
ただ、食べ物が口からこぼれ落ちたりしやすいため、出来る限り歯は温存するようにしたいです。
全ての抜歯を行う事で、以前よりよく食べるようになり、口臭が改善されたことで飼い主様とのコミュニケーションやスキンシップもより良好になりました。
また、高齢動物の場合は、必要なすべての歯科処置を1回の麻酔処置で行う事が困難な場合があるため、優先順位を決めて必要な治療を実施します。








