症例紹介 CASE
口が痛くて食べれない:猫の全顎抜歯
推定10歳 去勢済みの猫さん(男の子)
大阪の知人の獣医さんから診察の依頼です
1年前に他院にて全顎抜歯(治療のため全ての歯を抜いた)を実施したが、最近口が痛くて食べれない
治療のため他の病院で、定期的にステロイドの注射をした直後はご飯を食べている
知人の病院に転院された時には、ステロイド治療の影響で糖尿病・肝障害を起こしている
など厳しい状況になってきたため、歯科治療のため当院にご紹介いただきました。
初診で診させて頂いてから、しばらくステロイドを休薬し、口の痛みを抑えながら肝保護剤などの投薬を行い、一般状態や血液検査の状態が改善されてからの麻酔歯科処置となりました。
右側外観と下顎外観の写真は、この様な感じです。
ほどんどの歯はないのですが、肉眼でも残根らしき歯が認められ、周囲の歯肉が発赤しています。
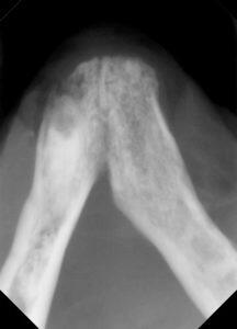
レントゲン検査では、
右上顎臼歯の残根2本と下顎臼歯の残根1本、犬歯は歯冠切除を実施していましたが歯肉に近い場所でした。
レントゲンで確認できる残根を抜歯し、下顎犬歯はより深い場所で切除を実施しました。
歯科処置は、術中に抜歯が必要か、そしてどの様に抜歯をするか判断するために、歯科レントゲン検査が必要になります。
また、術後にもレントゲン撮影をし、抜歯後の状態を評価しなければなりません。
今回の処置では、術後の食欲が心配でしたが、翌日には痛みから解放されよく食事を摂りようになりました。
猫の歯肉口内炎は、抗生物質やステロイドなどの内科治療では根治が難しく、基本的には外科処置が必要な疾患です。
また、内科治療で慢性化した歯肉口内炎は、全臼歯抜歯などの外科処置の治療成果が低下するため、なるべく早い外科治療の判断が必要になります。







